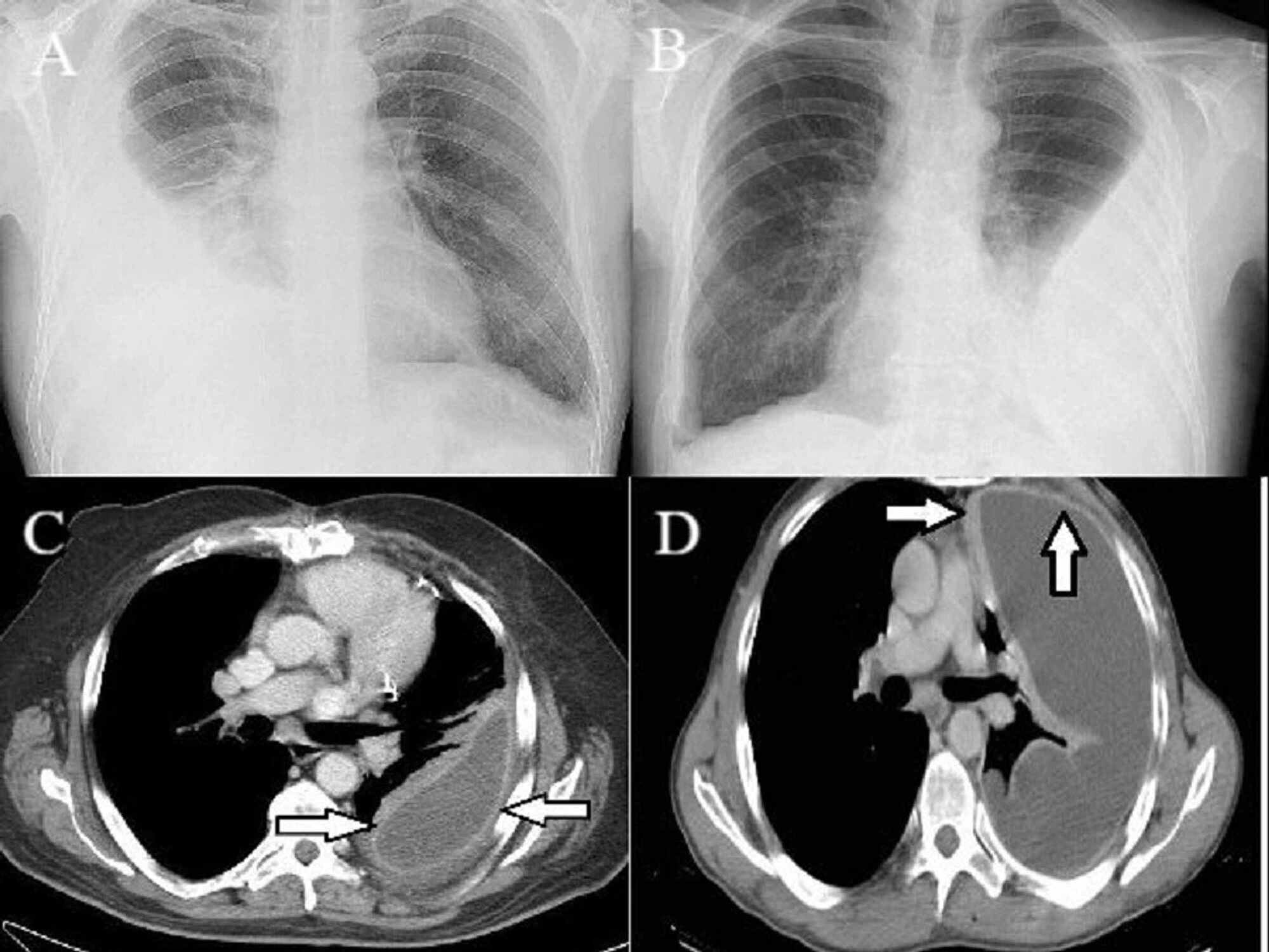
Decortication is a surgical procedure that removes a restrictive layer of fibrous tissue overlying the lung, chest wall, and diaphragm. The aim of decortication is to remove this layer and allow the lung to reexpand. When the peel is removed, compliance in the chest wall returns, the lung is able to expand and deflate, and patient symptoms improve rapidly.